DR RODRIGO ASTOLFI Cirurgião do Pé e Tornozelo

DR RODRIGO ASTOLFI

marque sua consulta

Cirurgia Ortopédica Minimamente Invasiva de Pé e Tornozelo

Precisão • Confiança • Resultados

Dr. Rodrigo Astolfi é referência nacional em Cirurgia Ortopédica de Pé e Calcanhar, reconhecido por sua excelência técnica, atuação ética e abordagem humanizada. Com sólida formação acadêmica, vasta experiência clínica e compromisso constante com a inovação, oferece tratamentos personalizados que aliam precisão científica e cuidado integral ao paciente.

Formado pela USP, com PhD em IA aplicada na ortopedia. Palestrante internacional, especialista em cirurgias minimamente invasivas com foco em pé plano e joanete.

Especialidades

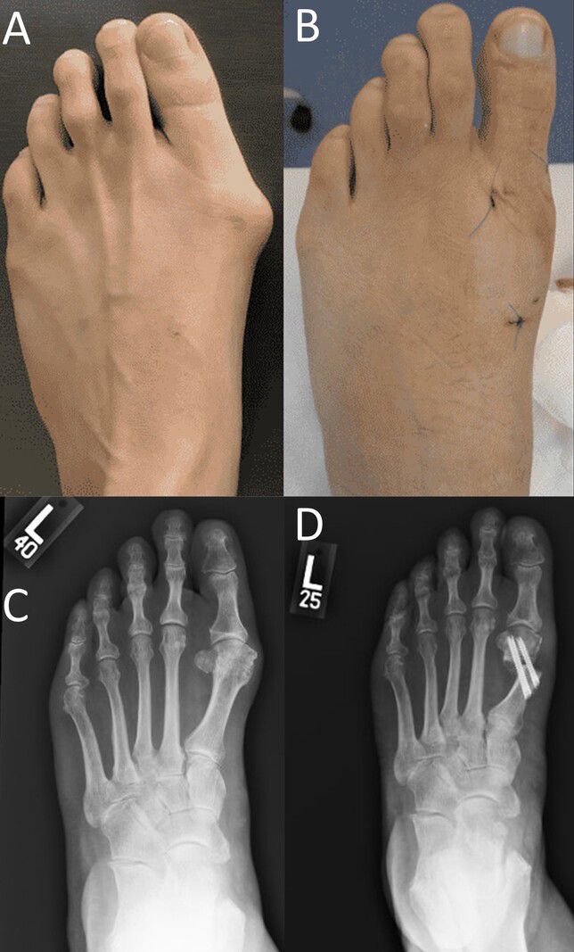
"Operar os dois pés e pisar imediatamente!” esse lema gerou resultados incríveis no tratamento do pé plano e do joanete. Conheça as técnicas que foram apresentadas pelo Dr Rodrigo Astolfi na Itália (pé plano) e na Coréia do Sul (joanete).

Depoimentos

Veja o que dizem os “Pisadores da Vida Eterna”, pacientes que tiveram suas vidas transformadas pelas técnicas modernas disponíveis para a correção de deformidades dos pés.

Agende sua Consulta com o Dr. Rodrigo Astolfi

Excelência e cuidado humano na cirurgia ortopédica.

marque sua consulta